Lutte contre la tuberculose : l’intelligence artificielle dans les prisons du Mozambique

Au Mozambique, un pays comptant environ 32 millions d’habitants et enregistrant près de 120 000 cas de tuberculose, dont un quart se trouvait en Afrique en 2022 selon l’OMS, une avancée prometteuse a été observée dans une prison de sécurité maximale à Maputo.

Utilisation novatrice de la technologie

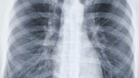
Dans cette prison, un programme d’intelligence artificielle (IA) se révèle être un nouvel outil crucial dans la détection de la tuberculose. Un détenu, vêtu d’un tee-shirt orange marqué du terme « détenu », se tient face à une grande tablette blanche fixée au mur. Derrière lui, un infirmier déclenche un appareil portable à rayons X connecté à un logiciel d’IA, marquant une étape révolutionnaire dans la lutte contre cette maladie infectieuse qui cible généralement les poumons.

Fonctionnement de l’IA

Le programme d’intelligence artificielle analyse instantanément et avec précision les résultats des radiographies pulmonaires, évitant ainsi le recours à l’expertise directe d’un médecin. Cette technologie innovante permet d’interpréter rapidement les données radiologiques, facilitant ainsi le dépistage précoce de la tuberculose sans attendre l’intervention d’un spécialiste.

Un espoir pour le diagnostic précoce

Cette initiative offre un espoir considérable pour améliorer la détection précoce de la tuberculose, notamment dans des endroits où l’accès à des ressources médicales spécialisées est limité, comme dans les prisons. En réduisant la dépendance à une expertise médicale directe pour l’interprétation des radiographies, cette technologie pourrait jouer un rôle crucial dans la prévention et la gestion de cette maladie infectieuse grave.

Laisser un commentaire

Votre adresse e-mail ne sera pas publiée. Les champs obligatoires sont indiqués avec *